Το μωρό μου γίνεται ενός σε λίγες μέρες και μόλις μάθαμε ότι του λείπει το αριστερό του νεφρό. Τι πρέπει να κάνω;
Παιδίατρος Online
Ο 6 ετών γιος μου κουνιέται και βάζει το χέρι στα γεννητικά του όργανα για να νανουριστεί. Πρέπει να του κόψω αυτή τη συνήθεια;
Τον τελευταίο καιρό είμαστε όλοι άρρωστοι στο σπίτι. Τι πρέπει να προσέξω για να μην κολλήσουμε το μωρό μου;
Το παιδί μου δεν κοιμάται πριν τις 11 το βράδυ, αλλά ξυπνάει ό,τι ώρα θέλει. Είναι κακό να πέφτει για ύπνο τόσο αργά;
Ο γιος μου έχει λοιμώδη μονοπυρήνωση και ενώ δεν έχει πια πυρετό, εμφάνισε ένα εξάνθημα σε όλο το σώμα. Πόσο θα του κρατήσει;
Τις τελευταίες μέρες υποφέρουμε από τη ζέστη. Αν βάλω το air- condition σε λειτουργία, μπορεί να βλάψει το 5 μηνών μωρό μου;
Κάθε φορά που προσπαθώ να δώσω κανονικό φαγητό στο μωρό μου, αρνείται να το δοκιμάσει. Τι μπορώ να κάνω;
Πηγαίνουμε για μπάνιο με την έξι μηνών κόρη μου αλλά ανησυχώ για το πόσο σύντομα πρέπει να ξεπλύνω από πάνω της το θαλασσινό νερό. Τι να κάνω;
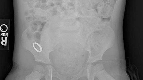
Η κόρη μου κατάπιε ένα παιδικό βραχιολάκι πριν είκοσι μέρες και ακόμα δεν το έχω βρει στα κόπρανά της. Είναι κάτι ανησυχητικό;
Ανησυχώ γιατί η κόρη μου έχει Σύνδρομο κατακράτησης αναπνοής. Πώς μπορούμε να το αντιμετωπίσουμε;















